Click Here to Preview Your New Smile!
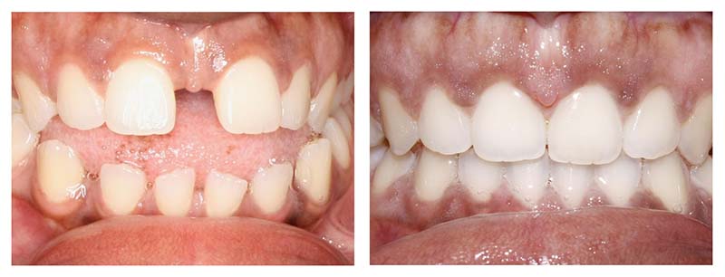
Invisalign®* is a form of orthodontic treatment that works to correct many different types of malocclusions through the use of a series of clear plastic trays called aligners. In many cases it provides an excellent treatment alternative to traditional orthodontic braces and metal wires.
Invisalign utilizes 3-D computer imaging technology to correct problematic bites or malocclusions by planning a complete sequence of custom-made clear aligners. This series of clear aligners incrementally move the teeth into place until the final desired corrections are reached.
The advantage and appeal of Invisalign appliances is that they are more cosmetic and more comfortable than most other orthodontic appliances. With Invisalign appliances orthodontic treatment is practically “invisible.”
Invisalign®* offers adults and teens a more cosmetic, comfortable and convenient alternative to other types of orthodontic appliances.
Designed to move teeth through a planned sequence of clear aligners, Invisalign is virtually invisible to the outside world. Transforming smiles with minimal interference to daily activities, Invisalign allows teens and adults to enjoy eating all of their favorite foods, and engage in sports without the fear of breaking their orthodontic appliances or sharp poking wires. Moreover, as the aligners are completely removable, toothbrushing and flossing is much easier. There is no need to struggle to clean in between and around any attached orthodontic brackets and wires.
*Invisalign is a registered trademark of Align Technology, Inc.
4318-H W. Crystal Lake Rd
McHenry, IL 60050